Un couple amateur s’amuse à se lancer des défis coquins. Celui qui perd lors d’une partie de poker doit se soumettre à l’autre sans broncher. Comme par hasard, madame se fait battre au poker et se retrouve dans une tenue...
Posté dans Videos sexy le samedi 24 août 2019
Incroyable ! A Panana City Beach en Floride, deux hommes grimpent à l’intérieur d’un manège a sensation forte le Slingshot. Lors de la mise en tension des élastiques, un élastique à gauche de votre écran va carrément céd...
Posté dans Actualité le vendredi 23 août 2019
Jenni Lee, alias Stephanie Sadorra, figure toujours dans le top 150 des actrices les plus populaires de Pornhub, mais malgré toute la notoriété que lui a procurée la pornographie, elle a été retrouvée dans les tunnels d'...
Posté dans Actualité le vendredi 23 août 2019
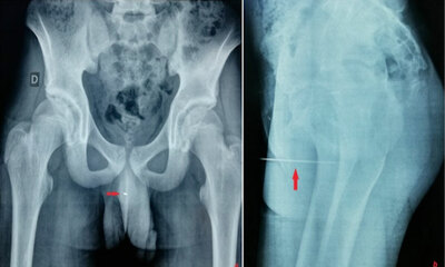
Le faits divers du jour est assez wtf ou un adolescent qui n’arrivait plus à uriner s’est rendu chez le médecin. Honteux, il explique avoir enfoncé une aiguille 9 cm dans l’urètre pour la stimulation érotique que cela lu...
Posté dans Actualité le vendredi 23 août 2019
Messieurs, ce n’est pas la journée du décolleté qui à lieu le 16 mais nous allons faire tout comme. Alors, en cette journée du jeudi 22 aout 2019, voici 25 femmes sexy et de toute beautés avec toutes un décolleté plongea...
Posté dans Videos sexy le jeudi 22 août 2019
Retrouvez chaque jour de la semaine, une galerie photo insolite avec des images complètement allumées. Pour ce dimanche 25 aout 2019, on se retrouve une nouvelle galerie avec comme toujours, des images Fun, WTF, Insolite...
Posté dans Images le jeudi 22 août 2019
Le vendredi 16 aout 2019, le parc d'attractions Tatzmania qui se situe à Löffingen, en Allemagne, a fermé son nouveau manège nommé "Eagle Fly" quelques jours après sa mise en service courant juillet. Pourquoi ? Plusieurs...
Posté dans Actualité le jeudi 22 août 2019
Lors d’un concert le 1er août 2019 au Grand Bornand située en Haute Savoir non loin d’Annecy, le groupe français AC/Déchets a interprété à l'accordéon une reprise incroyable de la chanson "Back In Black". A savoir, ce mo...
Posté dans Actualité le mercredi 21 août 2019
A Saint-Pétersbourg en Russie, un motard et un automobiliste coupent la priorité à droite d’un véhicule qui ne peut éviter la collision. Mais l’accident va provoquer un carambolage ou le motard va être éjecté au sol pour...
Posté dans Trash le mercredi 21 août 2019
On revient sur la mort tragique de Malcolm Young qui a perdu son combat contre la maladie d’Alzheimer. Le co-fondateur et guitariste rythmique d’AC/DC est décédé le samedi 18 novembre, à l’âge de 63 ans. Pour l’occasion,...
Posté dans Actualité le mercredi 21 août 2019
Même si l’intention était bonne ! A San Mamede de Ferreiros, en Espagne, un ami du marié est invité à son mariage et a l'idée d'utiliser sa moissonneuse-batteuse pour lancer du maïs à la place des grains de riz sur les m...
Posté dans Fun le mercredi 21 août 2019
En 1974, le film Emmanuelle sort. Énorme succès qui ne plait pas au gouvernement. Alors en 1975, donc sous Valéry Giscard d'Estaing, on crée la classification X. Plus d'aides pour ces films, TVA majorée et seuls les ciné...
Posté dans Images le mercredi 21 août 2019
Régis vient de s’acheter un véhicule Offroad ou tout-terrain en bon français. Alors qu’il se lance dans une descente assez difficile, il semble avoir un petit problème au niveau des bagages placées sur le toit du 4x4. Br...
Posté dans Fun le mercredi 21 août 2019
Heidi a bien grandi depuis ses fameuses séries à la télévision. Aujourd’hui, Heidi est adulte et est devenue une belle jeune femme du haut de ses 25 ans. Jolie rousse aux fesses parfaites, elle aurait pu participer au co...
Posté dans Videos sexy le mardi 20 août 2019
Le parc Screamers à Daytona Beach aux etats-Unis a comme attraction le fameux SlingShot et Chase et sa mère Ashley ont décidé d’en faire un tour. Mais lors du saut, Chase va surtout pleurer pour ses noix qui semble souff...
Posté dans Fun le mardi 20 août 2019
Le lundi 12 août 2019 à Honolulu, deux clientes se sont amusées à détruire la sculpture de sable qui se trouvait dans le hall d’entrée d'un hôtel. Alors que l’une détruisait le château de sable, son amie filmait toute la...
Posté dans Actualité le mardi 20 août 2019
Twentieth Century Fox France vient de dévoiler la bande annonce du film Underwater avec Vincent Cassel et Kristen Stewart. Le film raconte l’histoire d’une équipe de chercheurs sous-marins qui doit se mettre à l'abri apr...
Posté dans Ciné-TV le mardi 20 août 2019
Retrouvez chaque jour de la semaine, une galerie photo insolite avec des images complètement allumées. Pour ce mardi 20 aout 2019, on se retrouve une nouvelle galerie avec comme toujours, des images Fun, WTF, Insolite, q...
Posté dans Images le mardi 20 août 2019
Les sous-marins U-Boots allemand furent une composante majeure de la seconde guerre mondiale qui coulait les navires tentant de traverser l'Atlantique ravitailler le Royaume-Uni. L'artiste Bayin Wu qui faisait le livre "...
Posté dans Actualité le mardi 20 août 2019
Retrouvez chaque jour de la semaine, une galerie photo insolite avec des images complètement allumées. Pour ce vendredi 213 aout 2019, on se retrouve une nouvelle galerie avec comme toujours, des images Fun, WTF, Insolit...
Posté dans Images le mardi 20 août 2019
Retrouvez chaque jour de la semaine, une galerie photo insolite avec des images complètement allumées. Pour ce jeudi 22 aout 2019, on se retrouve une nouvelle galerie avec comme toujours, des images Fun, WTF, Insolite, q...
Posté dans Images le mardi 20 août 2019