Back

Il s’enfonce une aiguille dans l’urètre et n’arrive plus à la retirer

Posté par Yuki

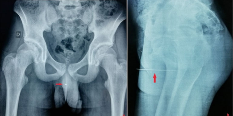
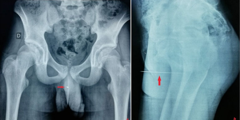
Le faits divers du jour est assez wtf ou un adolescent qui n’arrivait plus à uriner s’est rendu chez le médecin. Honteux, il explique avoir enfoncé une aiguille 9 cm dans l’urètre pour la stimulation érotique que cela lui procurait. Les médecins de l’hôpital tunisien de La Rabta ont publié un papier dans le numéro de juillet de la revue Urology Case Reports, dans lequel ils expliquent qu’is ont retrouvé une aiguille dans le pénis d’un patient. Une tige en métal de 9 cm, logée à 5 cm de profondeur dans l’urètre. Aiguille penis L’adolescent âgé de 14 ans déclare avoir enfoncé l’aiguille pour la sensation érotique que cela lui procurait. Placé sous anesthésie générale, les médecins lui ont retiré l’aiguille de l’urètre au forceps. Heureusement, il n’y a pas eu de complications après l’opération, et notre jeune fétichiste a pu quitter l’hôpital le jour suivant. Il a également passé plusieurs examens psychiatriques, mais aucun trouble mental n’a été diagnostiqué mais par précaution, un suivi psychologique lui a également été imposé. Le sodurètre Aiguille penis L’équipe de l’hôpital de La Rabta déclare que ce n’est pas la première et que cette pratique sexuelle se nomme le sodurètre : "Les objets retrouvés vont des aiguilles aux crayons, stylos, câbles, épingles à nourrice, pailles, cordes, brosses à dents, stérilets, batteries, ampoules, cotons-tiges, verres en plastique, thermomètres aux plantes et légumes, en passant par des membres d’animaux", déclarent-ils. L’insertion peut provoquer des infections Quand les objets ne sont pas stériles, l’insertion peut provoquer des infections et des blessures à l’urètre expliquent les médecins. Un conseil : si l’envie vous prend d’insérer quoique ce soit dans votre urètre, ne le faites pas !

Koideneuf s’engage pour la protection des mineurs. Le site sera bientôt sécurisé par le système de vérification d’âge AdultVerif.com.




Contact et informations

Parents, prot�gez vos enfants !

Caution!

You are entering an Adult site

You must be of legal age in your country to enter

This site uses cookies, more information here


Close this popup